投稿日から30日以上経過しており、内容が古い可能性があります。
けんせい歯科所長 歯科医師 浅野貴博

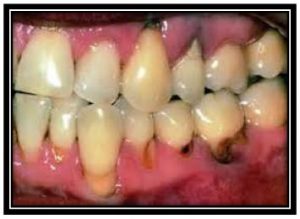
●根面カリエス(歯の根っこの虫歯)
歯の根元に虫歯が発症する虫歯の事を「根面カリエス」と言います。
子供の虫歯は減少傾向にあるのですが、高齢者の虫歯は増加傾向にあります。
「根面カリエス」の主な原因は、歯の根が歯ぐきから露出することです。
健康な状態では、歯の根は歯ぐきに覆われていますが、歯ぐきが下がりむき出しになると、そこにプラーク(歯垢)がたまり虫歯になります。
●露出した歯の根が虫歯になりやすいのは、歯冠と歯の根の構成されている成分・組織・硬さに違いがあるためです。
歯の根の象牙質は歯冠部のエナメル質に比べるとほんの少し酸性に傾くだけで虫歯になりやすいのです。
●根面カリエスの予防は、「口腔清掃」です。
柔らかめの歯ブラシで力を入れすぎないで磨くことです。
また、研磨剤無添加でフッ素入りの歯磨剤を併用することも有効です。